Your paediatric neurologist may suggest a scan to evaluate your child’s neurological condition.
What is MRI (Magnetic Resonance Imaging)?
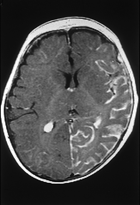
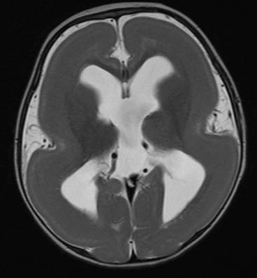
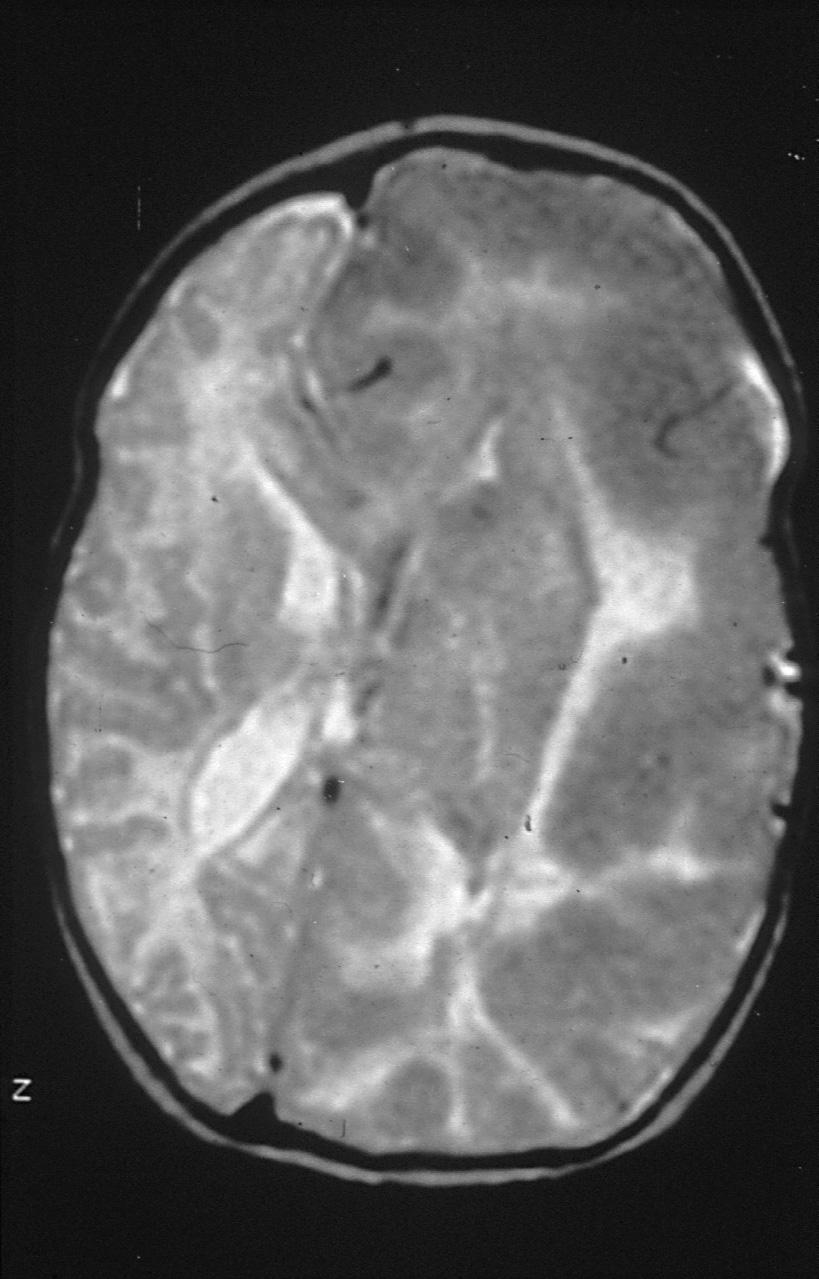
MRI, or magnetic resonance imaging, is a sophisticated medical imaging technique that captures intricate, high-resolution images of various organs and structures within the body. This advanced technology operates using powerful magnets and radio waves, which work together to create detailed visual representations displayed on a computer, allowing radiologist to assess conditions with remarkable clarity.
a computer.
One of the standout advantages of MRI is its safety profile, as it does not utilize any form of ionizing radiation. This feature makes it an exceptionally safe option for even the youngest patients, including children and infants. For very small children, undergoing an MRI while they are peacefully asleep—often after being fed—can make the experience much easier. Conversely, for older children who may be unable to remain still during the procedure, intravenous sedation or General anesthesia (GA) might be necessary to ensure their comfort and safety.
If Dr. Yeo concludes that sedation or GA is essential for your child’s MRI, we will facilitate the scheduling of an inpatient admission where dedicated staff will provide expert care throughout the process.
Additionally, in certain instances, a paediatric neurologist may recommend further imaging studies known as MR angiography (MRA) and MR venography (MRV). These tests provide a comprehensive evaluation of the arteries and veins within the head, offering vital insights that can aid in diagnosis and treatment planning.
What is Computerised Tomography (CT)?
Computed Tomography (CT) is an imaging modality that utilizes X-ray technology to generate detailed cross-sectional images of the body.
CT scans provide a significantly higher radiation dose, which poses potential risks, particularly for paediatric patients who may require multiple scans over time. Despite this concern, the speed and efficiency of CT make it an invaluable tool for expediting critical neurosurgical decisions, especially in emergency trauma situations where rapid diagnosis is essential.
CT scans excel in visualizing complex conditions, offering superior insights into injuries such as fractures, and diagnosing craniosynostosis—a congenital disorder where the skull bones fuse prematurely. Additionally, they are adept at detecting intracranial calcifications, which are deposits of calcium or other minerals within the brain, and diagnosing intracranial hemorrhages, which indicate bleeding within the cranial cavity.
Moreover, a pediatric neurologist may occasionally recommend a CT Angiography (CTA) to thoroughly assess the brain’s vascular structures, providing a comprehensive evaluation of blood flow and identifying any potential abnormalities.
If you have any further questions, you can schedule an appointment today with Dr Yeo.



